Retenciona folija: Uvod
Retenciona folija: Nakon meseci, možda i godina, posvećenosti i strpljenja sa ortodontskim aparatom, vaši zubi su konačno u savršenom položaju. To je zaista razlog za slavlje!

UDOBNIM APARTMANIMA KOJI SE NALAZE U NEPOSREDNOJ BLIZINI NAŠE KLINIKE,
UZ BESPLATAN PREVOZ SA AERODROMA.
Ali, da bi taj blistav rezultat trajao godinama, postoji jedan ključan korak koji mnogi često zaborave ili potcene – faza retencije.
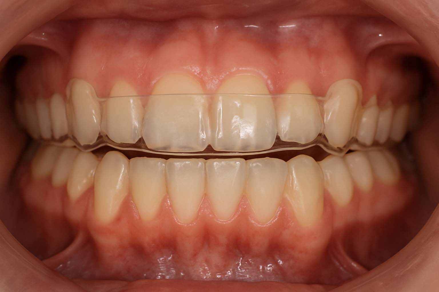
U ovoj završnoj fazi, upoznajete se sa svojim novim, tihim herojem: retencionom folijom. Možda se pitate šta je to tačno, kako funkcioniše i zašto je toliko važna za očuvanje vašeg truda.
U ovom postu, objasnićemo vam sve o ovoj tankoj, providnoj pločici koja je vaš najbolji saveznik u misiji da vaš savršen osmeh ostane takav zauvek. Zato, pridružite nam se i otkrijte kako ova folija čuva vašu novostečenu lepotu!
Retenciona folija: Šta je njena osnovna funkcija?
Retenciona folija: Njena primarna uloga u ortodonciji je da očuva postignute rezultate nakon aktivnog nošenja fiksnog aparata ili providnih alignera. Zamislite to kao čuvara savršenog osmeha koji ste marljivim radom i strpljenjem stekli.
Mnogi pacijenti, nestrpljivi da se oslobode ortodontskih pomagala, često potcene značaj retencione faze, što može dovesti do neželjenog pomeranja zuba. Upravo zbog prirodne tendencije zuba da se vrate u svoj prvobitni položaj, takozvanog relapsa, nošenje folije je ključno.
Ova tanka, providna pločica izrađuje se individualno za svakog pacijenta, na osnovu preciznog otiska ili skeniranja vilice, čime se obezbeđuje savršeno prijanjanje i maksimalna efikasnost.
Materijal od kojeg je izrađena je biokompatibilan, najčešće termoplastični polimer, koji je otporan, ali istovremeno dovoljno fleksibilan da omogući udobnost tokom nošenja. Ne izaziva iritacije sluzokože niti alergijske reakcije, što je od izuzetne važnosti za dugotrajnu primenu.
Dakle, njena svrha je da stabilizuje zube i okolne strukture – ligamente, kosti i gingivu – dajući im dovoljno vremena da se remodeluju i prilagode novom položaju. Bez pravilnog korišćenja ovog stabilizatora, sav trud i investicija u ortodontski tretman mogu biti ugroženi.
Stoga, nošenje ove folije je investicija u dugotrajnu stabilnost vašeg osmeha, osiguravajući da vaši zubi ostanu u idealnom položaju godinama koje dolaze. Ovo je, u suštini, poslednji, ali nikako najmanje važan korak ka trajnom ortodontskom uspehu.

Retenciona folija: Kako se izrađuje i koji su materijali u upotrebi?
Retenciona folija: Proces izrade ove ključne ortodontske komponente je precizan i prilagođen svakom pacijentu, osiguravajući maksimalnu efikasnost i udobnost. Sve počinje uzimanjem preciznog otiska gornje i donje vilice, ili, u modernijim ordinacijama, digitalnim skeniranjem zuba.
Ova tehnologija omogućava kreiranje 3D modela vilice sa izuzetnom preciznošću, eliminišući potrebu za neprijatnim otiscima masom. Kada se dobije precizan model zuba, bilo fizički gipsani ili digitalni, na red dolazi izrada same folije.
Najčešće se koristi vakuum presa, gde se tanka ploča termoplastičnog materijala zagreva do tačke omekšavanja, a zatim se pod pritiskom vakuuma oblikuje preko modela zuba. Ovaj proces obezbeđuje da se zaštitna folija savršeno prilagodi konturama svakog zuba, što je ključno za njenu funkcionalnost.
Materijali koji se koriste su visoko biokompatibilni i sigurni za oralnu upotrebu. Dominiraju transparentni termoplastični polimeri kao što su etilen-vinil acetat (EVA) ili polivinilhlorid (PVC), mada se sve češće primenjuju i novije generacije materijala poput polietilen tereftalat glikola (PETG) zbog njihove izdržljivosti i otpornosti na diskoloraciju.
Ovi materijali su izabrani zbog svoje providnosti, koja ih čini gotovo neprimetnim, ali i zbog svoje sposobnosti da pruže konstantan, blagi pritisak na zube, sprečavajući ih da se vrate u prethodni položaj.
Nakon oblikovanja, višak materijala se pažljivo trimuje i polira, kako bi se eliminisale oštre ivice i osigurala udobnost nošenja. Konačni proizvod je gladak, gotovo nevidljiv sloj koji čvrsto prianja na zube.

Retenciona folija: Koje su prednosti u odnosu na fiksne retainere?
Retenciona folija: Iako fiksni retineri (žičice zalepljene na unutrašnju stranu zuba) nude konstantnu stabilizaciju, ova vrsta retainera ima nekoliko značajnih prednosti koje je čine popularnim izborom kod mnogih pacijenata i ortodonata.
Jedna od glavnih prednosti je mogućnost lakšeg održavanja oralne higijene. Za razliku od fiksnih retainera koji otežavaju čišćenje koncem i mogu dovesti do nakupljanja plaka i kamenca, mobilna folija se može jednostavno skinuti pre pranja zuba i čišćenja desni.
Ovo smanjuje rizik od karijesa i gingivitisa, omogućavajući pacijentima da temeljno očiste sve površine zuba. Druga značajna prednost je estetski aspekt.
Dok fiksni retineri, iako diskretni, ipak predstavljaju strano telo u ustima i mogu biti vidljivi pri određenim uglovima ili svetlu, transparentna folija je praktično nevidljiva kada se nosi. Pacijenti često cene ovu neprimetnost, posebno oni koji su profesionalno ili društveno izloženi.
Takođe, fleksibilnost je još jedan benefit. U početku se nošenje preporučuje tokom celog dana i noći, ali se vremenom režim nošenja postepeno smanjuje, obično na noćno nošenje. Ova prilagodljivost pruža pacijentima veću slobodu i komfor u svakodnevnom životu, bez stalnog osećaja stranog tela u ustima.
U slučaju potrebe za manjim korekcijama ili prilagođavanjem, folija se lakše modifikuje ili zamenjuje novom, što je kod fiksnih retainera komplikovanije.
Osim toga, ne postoji rizik od odlepljivanja žice ili loma, što je čest problem kod fiksnih retainera i zahteva hitnu posetu ortodontu. Upotreba ove folije takođe omogućava ortodontu da prati stabilnost postignutih rezultata i po potrebi brzo reaguje na eventualne male pomake, prilagođavajući plan retencije.
Retenciona folija: Koliko dugo je potrebno nošenje?
Retenciona folija: Trajanje nošenja ove neophodne komponente ortodontskog tretmana je jedno od najčešćih pitanja među pacijentima i ključno je za dugotrajnost postignutih rezultata.
Iako se specifičan režim nošenja određuje individualno od strane ortodonta, na osnovu kompleksnosti slučaja i starosti pacijenta, opšte smernice postoje.
U većini slučajeva, faza nošenja ove folije započinje sa punim radnim vremenom, što podrazumeva nošenje folije tokom celog dana i noći, sa izuzecima za jelo i pranje zuba.
Ova intenzivna faza obično traje od nekoliko meseci do godinu dana, jer je to period kada su zubi i okolne strukture najpodložnije relapsu, odnosno povratku u prvobitni položaj. Nakon inicijalne intenzivne faze, ortodont obično preporučuje postepeno smanjivanje vremena nošenja.
To najčešće znači prelazak na noćno nošenje, odnosno samo tokom spavanja. Ovaj režim može trajati godinama, a u nekim slučajevima i doživotno, posebno kod pacijenata kod kojih postoji veća verovatnoća za relaps, kao što su oni sa izraženim parodontalnim problemima ili genetskim predispozicijama za pomeranje zuba.
Važno je razumeti da se koštana struktura i ligamenti oko zuba moraju remodelovati i prilagoditi novom položaju, što je proces koji zahteva vreme. Stabilizator, odnosno ova folija, pruža neophodnu podršku tokom ovog remodeliranja.
Nepridržavanje uputstava ortodonta o dužini i režimu nošenja može poništiti sav trud i investicije u ortodontski tretman. Zubi se mogu pomeriti, zahtevajući ponovnu ortodontsku terapiju. Zato je posvećenost i disciplina u nošenju ovog pomagala od vitalnog značaja za očuvanje vašeg savršenog osmeha.
Retenciona folija: Kako je pravilno održavati i čistiti?
Retenciona folija: Pravilno održavanje i higijena ove ključne komponente ortodontskog tretmana su od suštinskog značaja ne samo za njenu dugotrajnost, već i za održavanje oralnog zdravlja.
Baš kao i vaše prirodne zube, i površina ovog stabilizatora može biti idealno mesto za nakupljanje bakterija, plaka i ostataka hrane, što može dovesti do neprijatnih mirisa, diskoloracije folije, pa čak i do oralnih infekcija.
Stoga je redovno i temeljno čišćenje obavezno. Svaki put kada je skinete, bilo pre jela ili pre pranja zuba, trebali biste je isprati pod mlazom hladne ili mlake vode. Nikada nemojte koristiti vrelu vodu, jer to može izazvati deformaciju materijala i učiniti foliju neupotrebljivom.
Nakon ispiranja, nežno je očistite mekom četkicom za zube, koristeći blagi tečni sapun ili specijalizovanu pastu za čišćenje ortodontskih aparata. Izbegavajte abrazivne paste za zube koje mogu ogrebati površinu folije, stvarajući mikropukotine u kojima se bakterije lakše zadržavaju.
Posebnu pažnju posvetite svim udubljenjima i ivicama. Nakon čišćenja, isperite je ponovo pod vodom i ostavite da se osuši na vazduhu, ili je odmah vratite u usta. Kada je ne nosite, uvek je čuvajte u originalnoj, provetrenoj kutijici, daleko od direktne sunčeve svetlosti i izvora toplote.
Izbegavajte da je umotavate u maramicu ili salvete, jer se tako lako može izgubiti ili oštetiti. Povremeno, možete koristiti tablete za čišćenje proteza koje se rastvaraju u vodi, što pomaže u uklanjanju tvrdokornih naslaga i dezinfekciji.
Praćenjem ovih jednostavnih uputstava, osiguraćete da vaša transparentna folija ostane čista, higijenska i efikasna tokom celog perioda nošenja, čime ćete maksimalno produžiti njenu upotrebljivost i očuvati zdravlje usne duplje.
Retenciona folija: Šta učiniti ako se ošteti ili izgubi?
Retenciona folija: Scenariji oštećenja ili gubitka ove vitalne komponente ortodontskog tretmana su, nažalost, relativno česti, ali je ključno znati kako brzo i efikasno reagovati kako bi se minimizirale posledice po vaš osmeh.
Ako primetite bilo kakvo oštećenje na svom stabilizatoru, poput pukotine, naprsline ili deformacije, nemojte pokušavati da je sami popravljate. Materijal od kojeg je izrađena je specifičan i svaka neadekvatna intervencija može dodatno pogoršati problem ili je učiniti potpuno neupotrebljivom.
U takvim situacijama, odmah kontaktirajte svog ortodonta. On će proceniti stepen oštećenja i preporučiti da li je moguće popraviti foliju ili je neophodna izrada nove.
Odlaganje posete može dovesti do toga da se zubi počnu pomerati, što bi moglo zahtevati ponovnu ortodontsku terapiju. Još hitnija situacija je gubitak ove folije.
Iako se trudimo da budemo pažljivi, dešava se da se zaboravi na stolu u restoranu, ispadne iz džepa ili se jednostavno zagubi. U tom slučaju, takođe je neophodno da što pre obavestite svog ortodonta.
Svaki dan bez retencionog aparata može dovesti do neželjenih pomeranja zuba. Ortodont će obično imati vaše ranije otiske ili digitalne skenove, što će olakšati brzu izradu zamenske folije.
U nekim slučajevima, ako je prošlo samo kratko vreme, možda će biti potrebno uzeti novi otisak kako bi se osiguralo savršeno prijanjanje nove folije na trenutni položaj zuba. Preventiva je, naravno, najbolja opcija. Uvek čuvajte foliju u njenoj originalnoj kutijici kada je ne nosite.
Izbegavajte da je stavljate u džepove, torbice ili na mesta gde se lako može zaboraviti ili oštetiti. Brza reakcija i redovna komunikacija sa ortodontom su ključni za očuvanje savršenog rezultata postignutog ortodontskom terapijom.
Retencione folije: Može li uticati na govor i svakodnevne aktivnosti?
Retenciona folija: Kada se počne sa nošenjem ovog pomagala, sasvim je prirodno da se postavlja pitanje o njenom uticaju na svakodnevne aktivnosti, prvenstveno na govor i jelo. U početku, većina pacijenata doživi blagu promenu u izgovoru određenih reči, posebno onih koje sadrže “s”, “š” ili “c” zvukove.
Ovo se dešava zbog tankog sloja materijala koji prekriva nepce i unutrašnju stranu zuba, privremeno menjajući rezonancu u ustima. Međutim, ova promena je obično privremena i vrlo brzo se usna šupljina prilagođava prisustvu stabilizatora.
Većina pacijenata primeti da se njihov govor normalizuje u roku od nekoliko dana do nedelju dana, a adaptacija je obično brža kod mlađih pacijenata. Preporučuje se da se u početku što više vežba govor, čitanjem naglas ili razgovorom, kako bi se proces adaptacije ubrzao.
Što se tiče jela, nošenje folije tokom obroka se apsolutno ne preporučuje. Prvo, žvakanje hrane sa folijom u ustima može oštetiti materijal, što bi zahtevalo izradu nove folije. Drugo, sitni komadići hrane mogu se zaglaviti između folije i zuba, što može dovesti do nakupljanja bakterija i problema sa oralnom higijenom.
Stoga je pravilo da se uvek skine pre jela i pijenja bilo čega osim čiste vode. Ipak, ova zaštitna folija je dizajnirana da bude što diskretnija i udobnija. Većina pacijenata je, nakon perioda adaptacije, jedva i primećuje tokom nošenja, posebno kada se naviknu na nju.
Tokom fizičkih aktivnosti ili spavanja, ona ostaje stabilna i ne ometa disanje niti izaziva nelagodnost. Dakle, iako postoji kratak period privikavanja, ovaj stabilizator obično ne predstavlja značajnu prepreku u svakodnevnom životu.
Retencione folije: Da li je potrebna redovna kontrola kod ortodonta?
Retenciona folija: Nakon uspešno završenog aktivnog ortodontskog tretmana i prebacivanja na fazu retencije, postavlja se logično pitanje o učestalosti poseta ortodontu. Odgovor je jasan: da, redovne kontrole su apsolutno neophodne, čak i kada nosite ovaj stabilizator.
Faza retencije, iako pasivna u smislu pomeranja zuba, nije faza u kojoj se pacijent prepušta sam sebi. Redovni pregledi kod ortodonta omogućavaju praćenje stabilnosti postignutih rezultata i osiguravaju da zubi ostanu u svom novom, idealnom položaju.
Tokom ovih kontrola, ortodont će pažljivo proveriti stanje vaše folije – da li je neoštećena, da li pravilno prijanja na zube i da li je efikasna u sprečavanju relapsa. Proveriće se i stanje vaših zuba i desni, jer ova folija, iako transparentna, može uticati na oralnu higijenu ako se ne održava pravilno.
Ortodont takođe procenjuje stabilnost zagrižaja i simetriju vilice, prateći sve male promene koje se mogu desiti tokom vremena.
U slučaju da primeti i najmanje pomeranje zuba ili bilo kakav problem sa retencionom folijom, moći će odmah da reaguje, bilo da je potrebno prilagođavanje režima nošenja, popravka ili izrada nove folije.
Redovne posete su takođe prilika da postavite sva pitanja koja imate o nošenju, čišćenju ili bilo kakvim nelagodnostima. Učestalost kontrola varira od pacijenta do pacijenta, ali se obično kreće od jednom u nekoliko meseci u prvoj godini retencije, pa se postepeno proređuje na jednom godišnje.
Ove posete su ključne za dugoročni uspeh ortodontskog tretmana, jer obezbeđuju da vaša investicija u prelep osmeh ostane trajna. Nemojte ih preskakati – one su vaša garancija za stabilan i zdrav osmeh.
Zaključak
Došli smo do kraja našeg putovanja kroz svet retencione folije i nadamo se da vam je ovaj tekst pružio sve potrebne informacije i razjasnio dileme.
Kao što smo videli, retenciona folija nije samo još jedno ortodontsko pomagalo, već ključni saveznik u očuvanju onog prelepog osmeha za koji ste se toliko trudili. Od njene precizne izrade, preko jednostavnog održavanja, do jasnih prednosti u odnosu na druga rešenja, sve ukazuje na njenu vitalnu ulogu u post-ortodontskoj fazi.
Zapamtite, dosledno i pravilno nošenje, uz redovne kontrole kod vašeg ortodonta, osiguraće da vaši zubi ostanu na svom mestu godinama koje dolaze. Vaša posvećenost u ovoj fazi je investicija u dugotrajno samopouzdanje i radost koju donosi savršen osmeh.
Nemojte potcenjivati moć ovog nevidljivog čuvara – on je tu da vam pomogne da uživate u rezultatima svog truda zauvek.
